Kathetertherapie
Kathetertherapie
endovaskuläre, minimalinvasive Therapie










In den letzten Jahrzehnten wurden zunehmend Methoden zur minimalinvasiven Kathetertherapie entwickelt. Ziel war die Minimierung des Eingriffes bei gleichgroßem oder gar größerem therapeutischem Effekt. Diese neuen oder endovaskulären Verfahren (endovaskulär = Behandlung im Gefäß selbst) wurden dabei immer mit den früher möglichen Techniken der offenen Gefäßchirurgie (Operation) verglichen.
Wie auch vor einer Operation werden Sie ausführlich über den Eingriff und eventuelle Nebenwirkungen im Gespräch aufgeklärt ( Patientenaufklärung.)
Grundprinzip der Kathetertherapie ist die Gefäßbehandlung über einen millimetergroßen Hautschnitt unter örtlicher Betäubung und das Vorschieben von Plastikschläuchen (Kathetern) in die Gefäße. Über diesen Zugang (meist in der Leisten- oder Ellenbeuge) können Gefäßeinengungen aufgeweitet oder auch Gefäßverschlüsse wiedereröffnet werden (Ballon- oder Stentverfahren). Diese Verfahren werden immer weiter entwickelt und so sind nun auch Behandlungen des Bauchaortenaneurysmatas oder das Einbringen einer Herzklappe auf diesem Wege möglich.
über
10.000
ambulante Kathetereingriffe.
Die Verfahren werden immer sicherer und so ist mit neuen Systemen zum Verschluss der Gefäßpunktionsstelle auch das teilstationäre oder ambulante Durchführen möglich. Unsere Praxis hat einen derartigen ambulanten Katheterschwerpunkt und seit der Praxisgründung 2002 erfolgten bereits über 10000 ambulante Kathetereingriffe
Therapiebeispiele
endovaskuläre, minimalinvasive Eingriffe
Möglichkeiten der Perkutanen Transluminalen Angioplastie (PTA)
Neben diesen Hauptverfahren bestehen vielfältige weitere Methoden zur Wiedereröffnung von Gefäßen, wie die Auflösung (Lysetherapie), das Absaugen (Aspiration), das Abfräsen (Atherektomie) oder Photoabladieren (Laser-Angioplastie) von Gefäßverschlüssen.
Um die wiedereröffneten Gefäße offen zu halten wurden Techniken wie die Bestrahlung der Gefäßinnenwand (Brachytherapie) oder die Beschichtung der Stents eingeführt. Wichtigste Methoden zum Offenhalten von wiedereröffneten Arterien sind jedoch die Vermeidung und Reduzierung aller Risikofaktoren (Zigarettenrauchen, Bluthochdruck, Diabetes, Übergewicht, überhöhte Blutfette…). Um neue Blutgerinnsel zu verhindern wird meist die tägliche Einnahme von gerinnungshemmenden Medikamenten wie Acetyl-Salizyl-Säure = ASS oder Aspirin empfohlen.
Das Perkutane Verschlusssystem
Beispiele der Perkutanen Transluminalen Angioplastie = PTA ermöglicht das baldige Wiederaufstehen!
Die ambulante Therapie ist durch die Nutzung von perkutanen Verschluss-Systemen sicher möglich. Dadurch kann die Patientin/ der Patient die Praxis auch nach komplizierten Eingriffen bereits nach wenigen Stunden wieder verlassen.


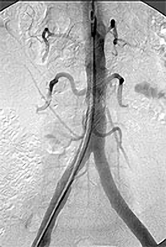
Einengung einer Beckenarterie
Die PTA (Perkutane Transluminale Angioplastie) im Beckenbereich ist ein minimalinvasives Verfahren zur Behandlung von verengten Beckenarterien. Dabei wird ein dünner Katheter mit einem Ballon über die Leiste in die verengte Arterie eingeführt. Der Ballon wird an der Engstelle entfaltet und dehnt die Arterie auf, um den Blutfluss zu verbessern. Oft wird zusätzlich ein Stent eingesetzt, um die Arterie dauerhaft offen zu halten. Die PTA wird meist in örtlicher Betäubung durchgeführt und ermöglicht eine schnelle Erholung. Sie ist eine bewährte Alternative zur offenen Operation bei Durchblutungsstörungen im Becken- und Beinbereich.